Skip Menu
Continue
1018 1/2 Vermont Ave, Los Angeles, CA 90029
(323) 953-7700
Logo
  • Home
  • About Us
    • Our Office
    • New Patients
    • Smile Gallery
    • Dental Videos
    • Reviews
  • Our Doctors
    • Dr. Shawn Rabizadeh
    • Dr. Cesar Olmos
  • Services
      • Crowns & Caps
      • Dental Bridges
      • Dental Fillings
      • Dentures
      • Emergency Treatment
      • Extractions
      • Implant Dentistry
      • Invisalign®
      • Oral Exams
      • Orthodontics
      • Pediatric Dentistry
      • Preventive Program
      • Root Canals
      • Teeth Whitening
      • Veneers
    • View All
  • Dental Health
  • Insurance
  • Contact
    • Patient Portal
    • Book Appointment

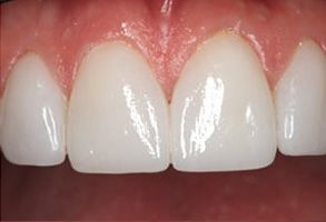
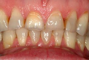
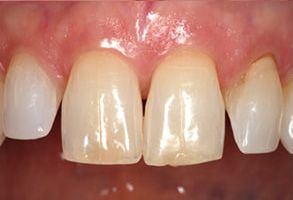
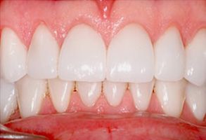
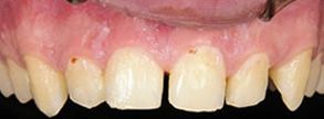
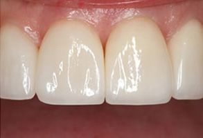
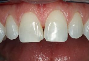
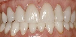
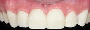
Dentistry Before and After Photos

Nothing makes us prouder than helping patients feel confident in their smiles. Our before-and-after photos showcase real results from treatments like teeth whitening, veneers, implants, and orthodontics. Every smile tells a story and your transformation could be next.

1018 1/2 Vermont Ave,
Los Angeles, CA 90029

New Patients
Appointments